胸腰部椎間板ヘルニア

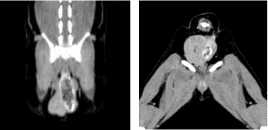
肛門嚢アポクリン腺癌

骨腫瘍

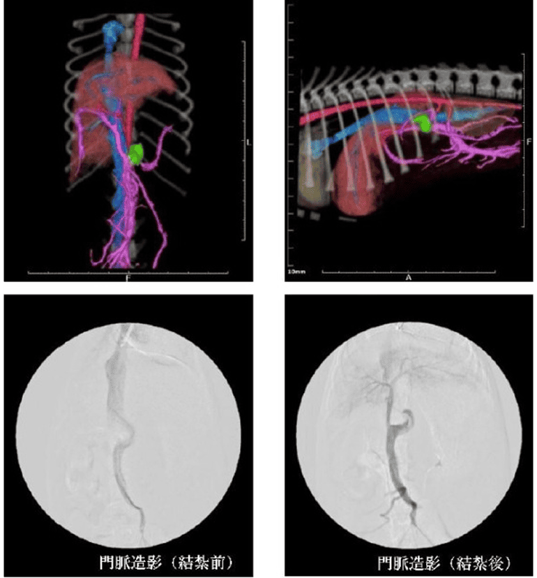
門脈シャント

肺腫瘍(肺腺癌)

画像診断科では、おもにCT(コンピューター断層)やMRI(核磁気共鳴画像)などの断層画像を用い、様々な疾患の診断をおこなっています。
近年、CTやMRIは獣医療においても一般的な検査となっていますが、
診療科の細分化が進行していく中で、個々の獣医師が断層診断に精通し、病態を解明していくことは困難です。
そこで断層診断の専門家集団として画像診断科は、他施設様や他の診療科から依頼を受け、画像の撮影から読影、病態の分析・推論までを一括して執り行っております。
そして主治医様や院内の獣医師と相談の上、臨床情報と総合し個々の患者様に最適な治療方針の決定に関わっております。





"体に取って害のあること"を医学用語で侵襲(しんしゅう)と言います。手術であれば身体にメスを入れること、薬であれば副作用の可能性も含めて"侵襲"といいます。低侵襲治療とは、この侵襲の度合いをできるだけ低くする治療のことです。
IVRは、外科手術のようにおなかや胸を切らずに、体の奥にある臓器や血管の治療ができる方法です。そのため、体への負担が圧倒的に少ないという特徴を持っています。
IVRとはIVR(アイ・ヴイ・アール)インターベンショナル・ラジオロジー(Interventional Radiology)の略です。一般的に「放射線診断技術の治療的応用」と訳されます。
「血管内治療」、「血管内手術」、「低侵襲治療」、「画像支援治療」も同じような意味で使われています。
エックス線透視像やCT画像を見ながら体内に細い管(カテーテルや針)を入れてを操作し、悪性腫瘍、血管性病変、出血などに対して治療を行うものです。
肝細胞癌の動脈塞栓術・インスリノーマの動脈塞栓術・脳腫瘍術前止血・門脈シャント形成術・抗癌剤動注リザーバー療法・胆管ステント・子宮平滑筋腫の動脈塞栓術
外科がダメでもIVRで直せる可能性があります!IVRが必要な時は、まずはお電話ください。
当院で対応できない症例もございますが、その場合は、様々な分野の専門医や大学病院と協力し、特殊な検査・治療・手術にも対応できるよう努めております。その際必要に応じ、当院から他施設へ紹介となることをご容認下さい。
072-960-1212
ご予約受付時間:10:00~20:00(年中無休)
正常肝臓は、肝動脈から30%門脈から70%の血液供給を受けている
二重血行支配
肝細胞癌:肝動脈のみから血液供給を受けている


血管を確保してカテーテルを誘導するもの

動脈内に入れて癌の栄養動脈まで達するための管。
この管を利用して栄養動脈を塞栓する

カテーテルの中に入れてカテーテルを誘導するもの

癌の栄養動脈を塞栓するための物質

大腿動脈からカテーテルを挿入し、X線透視下で、肝動脈に進めていきます。
造影剤を用いて肝動脈の全体像や腫瘍の位置を確認し、腫瘍の栄養血管を確認します。カテーテルの中にマイクロカテーテルを挿入します。
目標とする腫瘍の栄養血管へ造影剤を注入し、腫瘍のみが造影されることを確認した後に、塞栓物質を投与し栄養血管を塞栓させます。栄養血管が複数存在する場合は、同様の処置を繰り返します。

治療実施から107日の時点で、腫瘍の明らかな縮小が認められた。
一般状態は安定し経過良好であった

当院で対応できない症例もございますが、その場合は、様々な分野の専門医や大学病院と協力し、特殊な検査・治療・手術にも対応できるよう努めております。その際必要に応じ、当院から他施設へ紹介となることをご容認下さい。
お電話にてご予約受付
072-960-1212
ご予約受付時間:10:00~20:00(年中無休)
近畿動物医療センター
〒578-0984
大阪府東大阪市菱江3丁目15-27
TEL:072-960-1212 FAX:072-964-8686
共に高度医療を目指していける
メンバーを募集しています。