脳腫瘍(嗅球部頭蓋底髄膜腫)
近年では獣医療においても脳神経外科が普及してきています。脳神経外科は主に腫瘍性疾患に対して実施されることが多いですが、腫瘍の種類がわからないとその後の治療方針の決定が困難です。脳腫瘍を摘出して病理組織学的検査を行い、腫瘍の種類を同定することで、術後に追加治療が必要かどうかを判断します。
そのため、脳神経外科は脳腫瘍の治療のスタート地点と考え、その後の対応に関して、患者様により良い治療法を主治医様、飼い主様に提案することを心がけています。
当院では人医療の脳神経外科医で、獣医師の資格も持った脳外科医の安部欣博先生とともに脳神経外科を行っています。
術前MRI検査

術中所見

脳内操作(腫瘍摘出)

Pericranial flapの作成
術後MRI検査

頚部椎間板ヘルニア(片側椎弓切除術)
術前CT・MRI検査

静脈洞直上に椎間板物質の逸脱を疑う。静脈洞から出血する可能性が高いため片側椎弓切除術にて椎間板物質の摘出実施
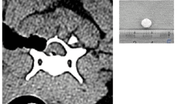
術後CT

椎間板物質の摘出(一塊で堅い物質が摘出された)

